搜索
全部
图文
视频
专题
科普号
筛选
排序方式
综合排序
最新排序
按浏览
按评论
按点赞
按分享
发布时间
全部时段
一天内
一周内
一月内
取消
确定
为您筛选出以下包含
【空调清洗】
关键词的资源
图文
家里这个位置很脏还看不到,真的需要清理
空调清洗
科普吉林
2024-04-10
图文
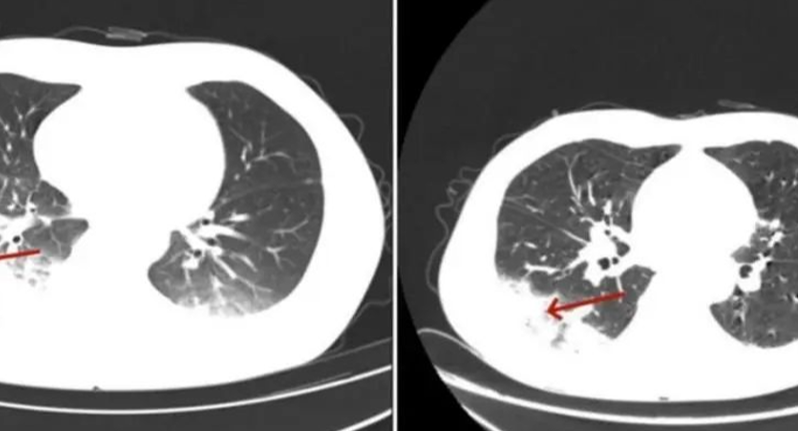
空调不洗干净,小心变成“白肺”
生活常识
军团菌
空调清洗
重庆市科学技术协会
2025-07-30
图文
看完赶快检查自家空调!
空调清洗
浙江省杭州市钱塘区科学技术协会
2024-07-23
图文
看完赶快检查自家空调!!
空调清洗
浙江省杭州市桐庐县科学技术协会
2024-08-10
图文
“空调病”到底是不是病?专家解读→
空调病
室内空气质量
空调清洗
空气流通
科普医卫康
2025-08-12
1
扫码下载APP
扫码下载科普中国APP
开启您的智慧生活
关闭
关于我们
联系我们
招贤纳士
法律声明
网站地图
京公网安备11010202008423号
京ICP备16016202号
map